
Punți fixe metalo-ceramice D'sign
Cazul 31: Punți dentare
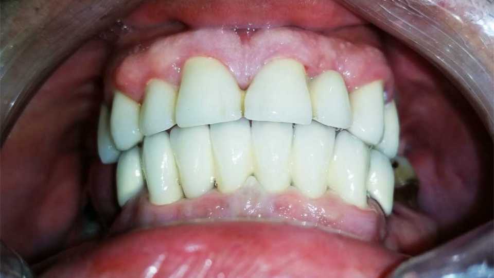
Pacientul, în vârstă de 51 de ani, s-a prezentat la cabinet din motive estetice și functionale, dar mai ales din cauza durerilor insuportabile ale dinților. După stabilirea planului de tratament, am hotărât împreună cu pacientul reconstrucția cu ajutorul a două lucrari fixe (punți) metalo-ceramice (D'sign), astfel refacându-se atat ocluzia (mușcătura) corecta, cât și aspectul fizionomic. Cazul a fost cu atât mai dificil, cu cât s-a lucrat “contra cronometru”, lucrarea fiind gata în doar 3 săptămâni.
Punțile dentare reprezintă acele lucrări protetice menite să înlocuiască unul sau mai mulți dinți lipsă.
Servicii și tratamente stomatologice de protetică dentară
Servicii și tratamente de protetică: coroane și punți dentare din materiale nobile sau seminobile, ceramică dentară și fațetări ceramice sau compozite, proteze mobile sau mobilizabile, încrustații din aur, argint sau ceramică.
Programare consultație
Dorești sfaturi, informații suplimentare și detalii despre punți dentare? Solicită o consultație gratuită.










