
Implanturi și punte fixă metalo-ceramică
Cazul 17: Implant dentar
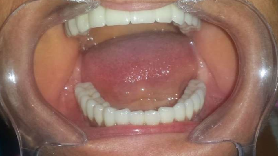
Pacienta s-a prezentat atât din motive estetice, dar mai ales funcționale. Întrucât pacienta a refuzat categoric varianta protezei mobilizabile, variantă propusă de mai mulți medici care o consultaseră anterior, am hotărât să alegem varianta inserării a 8 implanturi dentare (Alpha-Bio). După perioada de osteointegrare am protezat cu o punte fixă metalo-ceramică (Ivoclar D'sign).
Implantul dentar reprezintă un "șurub", de dimensiunea dinților naturali realizat din titan - un metal 100% biocompatibil cu țesuturile umane. Implantul dentar va înlocui un dinte (sau mai mulți) care a fost pierdut în urma unei extracții sau a altor complicații.
Servicii stomatologice de implantologie
Servicii stomatologie de implantologie, implanturi și extracții dentare, rezecții aplicate.
Programare consultație
Dorești sfaturi, informații suplimentare și detalii despre implant dentar? Solicită o consultație gratuită.






