
Cazul 13
Implanturi Alpha Bio și punte pe suport de Zirconiu
Cazul 13: Implant dentar
Cazuri • 2013/09
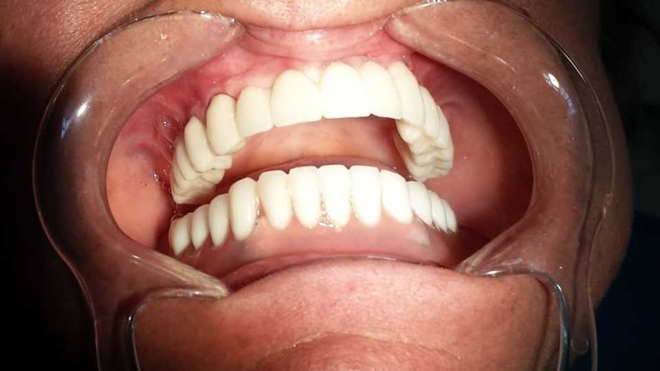
Pacienta prezenta o edentație superioară totală. Am inserat 6 implanturi (Alpha Bio), am așteptat 6 luni pentru osteointegrare și am realizat o lucrare fixă din ceramică pe suport de Zirconiu.
Imaginile sunt prezentate în ordinea evoluției tratamentului, de la situația inițială la rezultatul final.
Implantul dentar reprezintă un "șurub", de dimensiunea dinților naturali realizat din titan - un metal 100% biocompatibil cu țesuturile umane. Implantul dentar va înlocui un dinte (sau mai mulți) care a fost pierdut în urma unei extracții sau a altor complicații.
Programare consultație
Dorești sfaturi, informații suplimentare și detalii despre implant dentar? Solicită o consultație gratuită.